logo

Theo thống kê, 90% phụ nữ trong độ tuổi sinh sản có nguy cơ mắc viêm lộ tuyến cổ tử cung và tỷ lệ này đang có xu hướng ngày càng tăng cao. Bệnh không chỉ gây vô sinh, mà còn tăng nguy cơ mắc ung thư cổ tử cung, nguy hiểm đến tính mạng.

VÌ SAO PHÒNG KHÁM ĐA KHOA 52 NGUYỄN TRÃI ĐƯỢC CHỊ EM PHỤ NỮ LỰA CHỌN ĐIỀU TRỊ
VIÊM LỘ TUYẾN CỔ TỬ CUNG?

01

Phương pháp điều trị tiên tiến

Phòng khám là cơ sở y tế duy nhất tại Việt Nam áp dụng và điều trị viêm lộ tuyến cổ tử cung bằng phương pháp công nghệ sóng cao tần của Mỹ.

02

Cơ sở vật chất hiện đại

Tọa lạc tại số 52 Nguyễn Trãi Thượng Đình, Thanh Xuân, Hà Nội với diện tích >2000m2, 7 tầng khang trang, tiện nghi, đầy đủ các phòng chức năng chuyên dụng.

03

Trang thiết bị hiện đại

Trang thiết bị y tế tại phòng khám được nhập khẩu từ nước ngoài giúp hiệu quả điều trị nhanh chóng, chính xác cao lên tới 99,9%.

04

Mô hình khám chữa bệnh khép kín

Mô hình khám chữa bệnh tại phòng khám “1 bác sĩ – 1 y tá – 1 bệnh nhân – 1 phòng bệnh” đảm bảo sự riêng tư tối đa cho bệnh nhân.

05

Đội ngũ bác sĩ giỏi

Phòng khám hội tụ đội ngũ bác sĩ chuyên sản phụ khoa hơn 30 năm kinh nghiệm chuyên khoa, cẩn thận, nhiệt tình và công tác tại nhiều bệnh viện lớn trong nước.

06

Thủ tục khám đơn giản, chi phí niêm yết

Thủ tục khám chữa bệnh nhanh chóng, chi phí công khai, niêm yết theo đúng quy định của Sở y tế.

NHẬN BIẾT DẤU HIỆU VIÊM LỘ TUYẾN CỔ TỬ CUNG RÕ RỆT NHẤT QUA TỪNG CẤP ĐỘ

VIÊM LỘ TUYẾN CẤP ĐỘ 1

  • Mức độ tổn thương chỉ chiếm 1/3 cổ tử cung.
  • Khí hư ra nhiều bất thường, khí hư có màu vàng, vàng xanh hay trắng đục.
  • Khí hư có mùi hôi và kèm theo bọt.

VIÊM LỘ TUYẾN CẤP ĐỘ 2

  • Vùng lộ tuyến chiếm khoảng 1/3-2/3 diện tích cổ tử cung.
  • Ngoài dấu hiệu viêm lộ tuyến giống cấp độ 1 thì giai đoạn này bệnh còn kèm theo các triệu chứng như: đau rát âm đạo, chảy máu âm đạo.

VIÊM LỘ TUYẾN CẤP ĐỘ 3

  • Vùng tổn thương chiếm trên 2/3 diện tích cổ tử cung.
  • Âm đạo chảy máu bất thường, nhất là khi giao hợp.
  • Khí hư ra nhiều bất thường, hôi, ngứa vùng kín.
  • Đau tức vùng bụng dưới, phần eo và phần hố chậu,..
  • Giảm ham muốn tình dục, cơ thể mệt mỏi, chán ăn, chu kỳ kinh rối loạn.

Bạn đang nghi ngờ hay bị

VIÊM LỘ TUYẾN CỔ TỬ CUNG?

6 CĂN NGUYÊN GÂY VIÊM LỘ TUYẾN
CỔ TỬ CUNG ÍT ĐƯỢC QUAN TÂM

  • Vệ sinh vùng kín sai cách

    01 Thụt rửa âm đạo quá sâu, lạm dụng dung dịch vệ sinh có tính khử mạnh,…gây mất cân bằng môi trường âm đạo, tạo điều kiện thuận lợi cho các tác nhân gây hại gây bệnh.
  • Quan hệ tình dục thô bạo

    02 Quan hệ thô bạo, quan hệ với nhiều bạn tình sẽ làm lây nhiễm chéo tác nhân gây bệnh. Ngoài ra, quan hệ mạnh cũng khiến cổ tử cung bị viêm.
  • Lạm dụng thuốc tránh thai

    03 Sử dụng thuốc tránh thai thường xuyên, nhất là loại “khẩn cấp” sẽ khiến các tế bào tử cung tăng sinh mạnh mẽ, phát triển quá mức ra bên ngoài.
  • Nạo phá thai nhiều lần

    04 Nạo phá thai nhiều lần sẽ gây ảnh hưởng trực tiếp tới tử cung, cổ tử cung, từ đó làm tăng nguy cơ mắc bệnh viêm lộ tuyến.
  • Mắc bệnh phụ khoa

    05 Các bệnh viêm nhiễm phụ khoa, bệnh xã hội như: viêm cổ tử cung, viêm âm đạo, lậu,…không điều trị cũng có thể gây ra viêm lộ tuyến.
  • Nguyên nhân khác

    06 Viêm lộ tuyến có thể xuất phát từ việc nữ giới sinh nở quá nhiều hay đặt thuốc âm đạo tùy tiện.

7 HỆ QUẢ KHÔN LƯỜNG NẾU VIÊM LỘ
TUYẾN CỔ TỬ CUNG
KHÔNG ĐƯỢC ĐIỀU TRỊ KỊP THỜI

01BẠN BỊ VIÊM LỘ TUYẾN LÂU CHƯA?

02BẠN ĐANG GẶP PHẢI TRIỆU CHỨNG KHÍ HƯ RA NHIỀU:

03BẠN CÓ THẤY NGỨA VÙNG KÍN, ĐAU BỤNG DƯỚI KHÔNG?

04BẠN CÓ BỊ CHẢY MÁU KHI QUAN HỆ KHÔNG?

05TRƯỚC ĐÂY BẠN CÓ TIỂU SỬ MẮC BỆNH VIÊM NHIỄM PHỤ KHOA KHÔNG?

Nếu không muốn chờ lâu, vui lòng click "Giải đáp trực tuyến" hoặc click "Gửi bài test" để biết kết quả

giải đáp trực tuyến
PHƯƠNG PHÁP ĐIỀU TRỊ VIÊM LỘ TUYẾN CỔ
TỬ CUNG BẰNG KỸ THUẬT SÓNG CAO TẦN
CÔNG NGHỆ CAO CỦA MỸ (99% KHỎI BỆNH)

Có rất nhiều phương pháp điều trị viêm lộ tuyến như: dùng thuốc, đốt điện, laser, áp lạnh,…Tuy nhiên, những phương pháp truyền thống này không mang lại hiệu quả cao, gây đau đớn, tái phát

Nhằm khắc phục các vấn đề trên, phòng khám Đa khoa 52 Nguyễn Trãi đã nghiên cứu, áp dụng thành công phương pháp điều trị viêm lộ tuyến với công nghệ sóng cao tần của Mỹ.

Với gần 40 năm kinh nghiệm công tác, bác sĩ chuyên khoa phụ sản cấp I – Phạm thị Minh Trang cho biết, phương pháp chữa trị viêm lộ tuyến cổ tử cung bằng công nghệ sóng cao tần mang lại rất nhiều ưu điểm, như:

AN TOÀN - Hiệu quả

  • Thực hiện bởi đội ngũ bác sĩ chuyên khoa hơn 30 năm kinh nghiệm.
  • Phòng thủ thuật, trang thiết bị y tế được vô trùng.
  • Hiệu quả lên đến 99%.

PHỤC HỒI NHANH CHÓNG

  • Tăng khả năng phục hồi nhanh hơn so với phương pháp truyền thống
  • Kỹ thuật xâm lấn tối thiểu nên không ảnh hưởng tới sức khỏe

HẠN CHẾ TÁI PHÁT

  • Tỷ lệ tái phát chỉ còn dưới 1%

KHÔNG ẢNH HƯỞNG TỚI
CÁC TẾ BÀO LÀNH TÍNH

  • Tác động và hoạt động theo nguyên lý xâm lấn tổi thiểu, tác động sâu vào viêm nhiễm không ảnh hưởng tới các tế bào lành tính.
  • Chỉ cần điều trị 1 lần duy nhất

THỜI GIAN
THỰC HIỆN NGẮN

  • Thời gian thực hiện chỉ 3-5 phút cho 1 lần thủ thuật
  • Không phải nằm viện, không ảnh hưởng tới sinh hoạt

KHÔNG ĐAU - KHÔNG
ĐỂ LẠI SẸO

  • Không đau – Không chảy máu – Không để lại sẹo
  • Tính thẩm mỹ cao

ĐỘI NGŨ BÁC SĨ CHUYÊN KHOA GIỎI
TẠI PHÒNG KHÁM ĐA KHOA 52 NGUYỄN TRÃI

Bác sĩ Lê Hữu Liêm

  • Chuyên khoa II sản phụ khoa
  • Tốt nghiệp Đại học Y Hà Nội, từng làm việc tại Bệnh viện Phụ Sản Hà Nội
  • Được Thụy Sĩ đào tạo chuyên môn về sức khỏe sinh sản và điều trị vô sinh
  • Giám đốc triển khai dự án của các Tổ chức Y Tế Thế Giới, trong đó có: hội từ thiện Mary Stop.

Bác sĩ Phạm Thị Minh Trang

  • Bác sĩ chuyên khoa Phụ sản cấp I
  • Tốt nghiệp Đại học Y Hà Nội
  • Nguyên Phó khoa Ngoại 2 Bệnh viện 198 – Bộ Công An
  • Có hơn 40 năm kinh nghiệm khám, điều trị bệnh phụ khoa, bệnh xã hội, kế hoạch hóa gia đình, làm lại thành âm đạo, tầng sinh môn, hiếm muộn/vô sinh

Bác sĩ Bùi Thị Hường

  • Bác sĩ chuyên khoa sản
  • Tốt nghiệp Đại học Y Thái Nguyên ngành Y đa khoa, chứng chỉ Điều trị phụ khoa tại Bệnh viện Phụ Sản Trung Ương
  • Có nhiều năm kinh nghiệm tư vấn, thăm khám, điều trị bệnh phụ khoa, rối loạn kỳ kinh nguyệt, các bệnh tình dục, tầm soát ung thư cổ tử cung, tư vấn sinh sản

Bác sĩ Lê Đắc Hải

  • Bác sĩ chuyên khoa I chuyên ngành sản phụ khoa
  • Tốt nghiệp Đại học Y Thái Nguyên, tốt nghiệp bác sĩ chuyên khoa I Đại học Y Hà Nội
  • Gần 20 năm kinh nghiệm thăm khám, chẩn đoán và điều trị sản phụ, bệnh phụ khoa, rối loạn chu kỳ kinh nguyệt, các bệnh lây nhiễm đường tình dục

QUY TRÌNH ĐIỀU TRỊ VIÊM LỘ TUYẾN CỔ TỬ CUNG
BẰNG CÔNG NGHỆ SÓNG CAO TẦN CỦA MỸ TẠI
PHÒNG KHÁM ĐA KHOA 52 NGUYỄN TRÃI

  • Thăm khám lâm sàng, xét nghiệm và siêu âm để kiểm tra chính xác mức độ viêm nhiễm.
  • Kiểm tra tình trạng sức khỏe của chị em xem có đủ điều trị thực hiện không
  • Vệ sinh vùng kín, xịt gây tê khu vực viêm lộ tuyến
  • Vệ sinh vùng kín, xịt gây tê khu vực viêm lộ tuyến
  • Người bệnh nghỉ ngơi tại chỗ và kết thúc quá trình điều trị

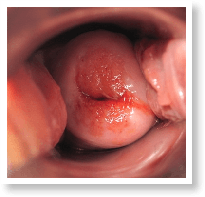
HÌNH ẢNH TRƯỚC VÀ SAU KHI THỰC HIỆN THỦ THUẬT

Trước khi thực hiện thủ thuật
Click vào để xem ảnh
Sau khi thực hiện thủ thuật
Click vào để xem ảnh

cảm nhận của bệnh nhân Về phòng khám
Đa khoa 52 Nguyễn Trãi

CHƯƠNG TRÌNH ƯU ĐÃI CỦA PHÒNG KHÁM

Hiện phòng khám Đa khoa 52 Nguyễn Trãi đang có chương trình ưu đãi gói khám viêm nhiễm phụ khoa chỉ 288K

Ưu đãi chỉ áp dụng cho những bệnh nhân đặt lịch hẹn khám trực tuyến TẠI ĐÂY hoặc gọi qua số điện thoại: 024.3511.1111 - 033.555.1280
Bản quyền thuộc Bác Sĩ Nam Khoa